Brown or white ‘spots’ on the eye (pigmented and non-pigmented lesions)

Many children have brown ‘spots’ (such as moles or freckles) on their skin and sometimes children have similar spots on the white of their eyes.

This page aims to answer questions parents frequently ask us.

What causes spots on the eye?

The conjunctiva is the transparent layer that covers the white part of the eye.

Sometimes a small part of this normal tissue can overgrow, causing small lumps or darkmarks on the white of the eye. The most common of these is a mole; the medical name for mole is ‘naevus’. These are usually dark, because they contain a pigment, melanin. Sometimes a naevus is formed without pigment; these naevi are pale or pink-red.

Other ‘spots’ include:

  • papilloma – an overgrowth of conjunctiva
  • haemangioma – collection of blood vessels
  • lymphangioma – collection of lymph vessels

These images show typical naevi of the conjunctiva. The naevus on this image has a lot of pigment (melanin).

Photo of Naevus with a lot of melanin pigment

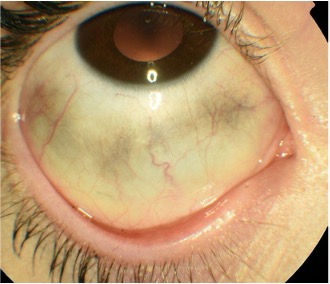
The naevus on image has no pigment. You can see fine blood vessels and liquid-filled spaces, which are masked by melanin pigment in the picture of the naevus above.

Image of Naevus with no pigment

Do I need to worry about spots on my child’s eyes?

Most moles (naevi) and other lesions appear in childhood or in teenage years and are harmless. Some always stay the same. Some become lighter or darker over time. Some slightly increase in size, particularly during growth spurts. A small number of naevi and papillomas will completely disappear with time. Even when the appearance changes, there is no need to worry; these changes are harmless. 

Some children, particularly those with darker skin, can have larger grey or brown flat patches on the white of the eye.

Image of an eye with grey or brown patches

These patches are often present at birth or in the first few years of life and can change in size and colour over time. Usually these do not cause a particular risk of eye problems later in life. Rarely, if these patches are very large, with dark colouration of the skin around the eyes, or changes inside the eye, there is a small risk of eye problems later. This will need to be monitored; the eye specialist will advise you.

How will this be monitored?

An examination by an eye specialist will confirm what type of spot is on your child’s eye and might take a picture of the spot; the rest of the eye will be checked as well. If a spot is raised or uneven, it may become red and sore due to being dry or irritated. In this case, youcan apply artificial tear drops, which you can buy at the chemist over the counter. Most children will be discharged from the clinic after their first visit.

Can surgery remove spots?

Surgery can remove spots from the conjunctiva, but often leaves a scar that can be raised and irritable and if this happens the area may still not look ‘normal’. Spots on the eye are therefore usually left alone, unless they become very big or cause severe irritation.

 

Authors: Paediatric information group 

Review date: August 2025