Patient being trained after eye implant surgery, looking at a computer wearing glasses

Pioneering eye device restores reading vision to blind eyes

A pivotal clinical trial of a new electronic eye implant has seen remarkable results. Published in the New England Journal of Medicine, it showed that 84% of participants were able to read letters, numbers and words using prosthetic vision through an eye that had previously lost its sight due to the untreatable progressive eye condition, geographic atrophy with dry age-related macular degeneration (AMD). They could also read, on average, five lines of a vision chart that some participants could not even see before their surgery. 

These findings pave the way for seeking approval to market this new device.

The trial, with 38 patients in 17 sites across five countries, involved the PRIMA device, Moorfields being the sole UK site. All participants in this trial had lost the central sight of the eye being tested, leaving only limited peripheral vision.

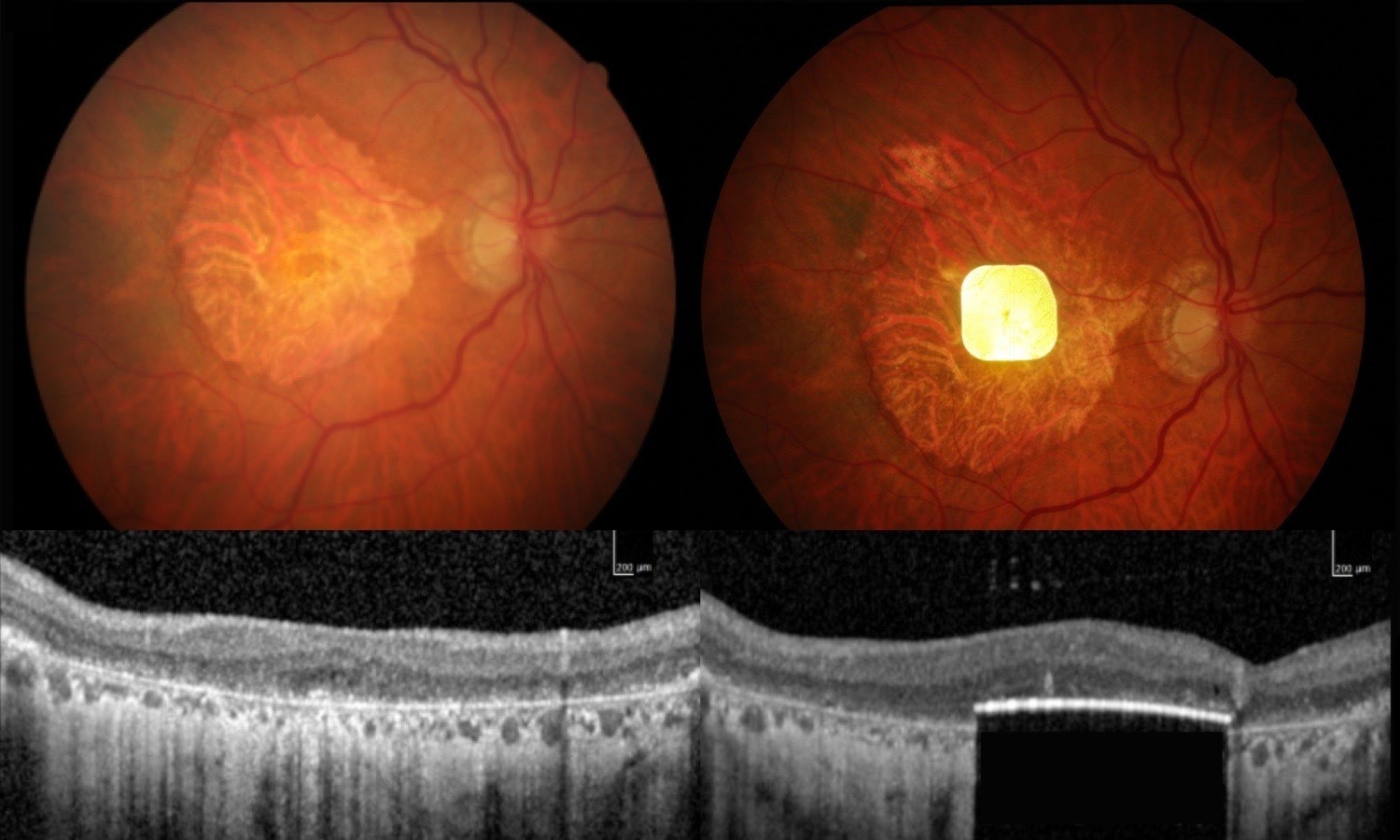
Dry AMD is a slow deterioration of the cells of the macula over many years, as the light-sensitive retinal cells die off. Most people with dry AMD experience a loss of central vision. Through a process known as geographic atrophy (GA), it can progress to full sight loss in the eye, as the cells die. There is currently no treatment for GA, which affects 5 million people globally.

This revolutionary new implant is the first ever device to enable people to read letters, numbers and words through an eye that had lost its sight.

The procedure involves the surgeon inserts the ultra-thin microchip under the centre of the participant’s retina. This is shaped like a SIM card and is just 2mm x 2mm. The patient uses augmented-reality glasses, containing a video camera that is connected to a small computer, with a zoom feature, attached to their waistband.

Artificial intelligence (AI) algorithms in the pocket computer process this information, which is then converted into an electrical signal. This signal passes through the retinal and optical nerve cells into the brain, where it is interpreted as vision. The patient uses their glasses to focus and scan across the main object in the projected image from the video camera, using the zoom feature to enlarge the text. 

Each patient goes through an intensive rehabilitation programme over several months to learn to interpret these signals and start reading again.

Image showing the implant placed in the eye
Headshot of Sheila, eye implant patient

Sheila Irvine, one of Moorfields’ patients on the trial, said: “At first, I noticed I couldn’t judge things when I was driving - I kept hitting the pavement. I was told I had age-related macular degeneration. I cried all day long when I sent my driving licence back over 15 years ago, but then I said to myself, ‘Move on and get on with things.’

“I can't see TV very well, but I still have it on in the background. I don't let anything stop me. I’ve got lots of friends, we catch up down the pub, I live by myself and want to stay independent.

I wanted to take part in research to help future generations, and my optician suggested I get in touch with Moorfields.

Sheila Irvine, a Moorfields’ patients on the trial

“I wanted to take part in research to help future generations, and my optician suggested I get in touch with Moorfields. Before receiving the implant, it was like having two black discs in my eyes, with the outside distorted.

“I was an avid bookworm, and I wanted that back. I was nervous, excited, all those things. There was no pain during the operation, but you’re still aware of what’s happening. It’s a new way of looking through your eyes, and it was dead exciting when I began seeing a letter. It’s not simple, learning to read again, but the more hours I put in, the more I manage to pick up.

“The team at Moorfields has given me challenges, like ‘Look at your prescription’, which is always tiny. I like stretching myself, trying to look at the little writing on tins, doing crosswords.

“It’s made a big difference. Reading takes you into another world, I’m definitely more optimistic now.”

Mahi Muqit, senior vitreoretinal consultant at Moorfields Eye Hospital and the Institute of Ophthalmology at UCL, added: “In the history of artificial vision, this represents a new era. Blind patients are actually able to have meaningful central vision restoration, which has never been done before. Getting back the ability to read is a major improvement in their quality of life, lifts their mood and helps to restore their confidence and independence. The PRIMA chip operation can safely be performed by any trained vitreoretinal surgeon in under two hours - that is key for allowing all blind patients to have access to this new medical therapy for GA in dry AMD.”

The research at Moorfields was delivered through the NIHR (National Institute for Health and Care Research) Clinical Research Facility (CRF) at Moorfields Eye Hospital NHS Foundation Trust.

The PRIMA System device used in this operation is being developed by Science Corporation (science.xyz), which is a leader in brain-computer interfaces and neural engineering.

Mahi Muqit photo

This animation explains the procedure and how the device works.

video transcript

Prima targets the retina which has three major layers. Here's how the prima implant is placed in the eye.

First, a light is inserted to aid the surgeon and the vitrius fluid is removed from the inner chamber. Then, a space is formed beneath the retina where the implant will be placed. 

A delivery tool primes the implant for precise insertion. The delivery tool is inserted and the
implant is placed in the space below the retina.

Fluid is injected to push the retina back down. And finally, the implant is adjusted to best target the central visual field. The implant rests under the bipolar cells in the place of atrophied photo receptors.

It's difficult to read without central vision. So, a pair of glasses with an embedded camera captures visual information from the environment which is transmitted into the eye via near infrared light. The implant accepts this light and stimulates the retina in the
same pattern.

If you have sight loss, and are interested in the potential of this device for you, please register on our research portal, ROAM. This will also enable you to access current and future research relevant to you.

20 October 2025